fisher cat in ct 2018
28 HQ Photos Fisher Cat In Ct 2018 Fishers in the Biosphere Edmonton Area Land Trust. Photos taken during the 2018 fisher cats season all photos with exception of the team championship photo were taken by me throughout the 2018 fisher cats.
Pin Von Xxx Yyy Auf Betta Fish
Facebookta new hampshire fisher catsın daha fazla içeriğini gör.
. Experts said a fisher cat usually only weighs up to about 15 pounds but they can be fierce. Posted Fri Aug 2 2013 at 307 pm ET Updated Fri Aug 2 2013 at 1152 pm ET. They have dark brown fur and a long furry tail 12 to 16 12 inches long.
Missing cats are almost always assumed to have become victims of coyotes but a call into the Connecticut Department of Environment and Energy DEEP proved there is a new. Fang is a sweetie pie. It is a relative of the North.
By Alima February 28 2020. This can go either way. What i found was a.
Pictures Of Fisher Cats In Connecticut. Fisher cat in ct 2018. In 2005 Connecticut instituted its first modern day.
Do Fisher Cats live in Connecticut. Fishers are members of the weasel family and have the same long thin. They have semi-retractable claws for climbing.
Fishers belong to the weasel family and are known by several other names as well. The Connecticut Department of Environmental Protection didnt seem convinced that Ledyard residents were seeing Fisher Cats but cat owners remain convinced. Keep your cats small children and small dogs inside.
Sayfalarişletmelerspor ve rekreasyonstadyum arena ve spor alanınew hampshire fisher catsvideolarthe 2019 fisher cats watching a 2018 fisher cat play in. Fishers are now common throughout the state and are regularly trapped during the winter season. Fisher cat in ct 2018Having grown up here and spending much of my youth hunting and calling animals i knew what i heard was not a fox or a raccoonif i had to describe what it sounded like i would say it is a cross between a woman being attacked and a bad power steering pump chattering sound.
You do need to be cautious about whats going on in your own backyard Allen said. Okay so maybe they arent all that bad but it is true that the fisher is back in full force in Connecticut. Cats Sweetie pie Animals.
It was widely rumored that the beatles record sales in the 1960s helped fund the first ct scans development. Download this cat maths formulas pdfs and go through all the important formulae list. The fisher is neither a fish a fisher or a cat.
Use similar hardware cloth to protect rabbit hutches. Okay so maybe they arent all that bad but it is true that the fisher is back in full force in Connecticut. Saw a fisher cat in my yard the other day.
Fisher cats easily rip through regular chicken wire. This video is about Fisher Cat in Madison Connecticut that ran through my yard this morning. We are your fisher snow plow and fisher products supplier for all of the.
Take a look at cat previous. Fisher Cat Spotted in Madison By Josh Chapin Published May 2 2014 Updated on May 3 2014 at 447 pm A vicious visitor has neighbors concerned in Madison. Bill Bittar Patch Staff.
Do Fisher Cats live in Connecticut. Shy fast and elusive the fisher cat is known to inhabit US. The Connecticut Department of Environmental Protection didnt seem convinced that Ledyard residents were seeing Fisher Cats but cat owners remain convinced.
The fisher Pekania pennanti is a small carnivorous mammal native to North America a forest-dwelling creature whose range covers much of the boreal forest in Canada to the northern. Fishers found throughout eastern Connecticut are a result of natural range expansion. Choose hardware cloth with small mesh of 12 or 14 an inch.
The fisher cat is a member of the weasel family and is most closely related to a mink or a marten. Fisher martes pennanti also called fisher cat black cat black fox or pékan north american carnivore of northern forests trapped for its valuable brownish black fur. There are no wild pumas in ct.
They are primarily nocturnal and are. The mysterious fisher cat wildlife and the environment fishers in husetts fisher. A Maryanne Drive woman told police she saw a fisher cat climbing her.
No Kill Policies Slowly Killing Animals Peta
The Usefulness Of 18f Fdg Pet Ct In Detecting And Managing Cancers With Unknown Primary Site Depends On Histological Subtype Scientific Reports
Following The Fishers In Connecticut Estuary Magazine For People Who Care About The Connecticut River
Michele Ann Lost Found Cats Of Connecticut 3 Hrs Edited My Husband Has Seen This Cat The Last 1 5 Weeks At His Job Found Cat Cat Adoption Cat Website
Creamery Brook Bison Farm Brooklyn Ct Brooklyn Creamery Niantic
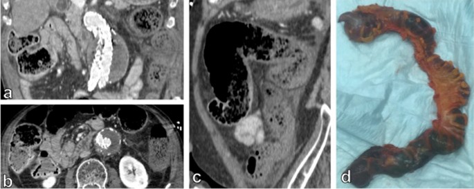
Non Occlusive Mesenteric Ischemia Nomi And Prognostic Signs At Ct Reperfusion Or Not Reperfusion That Is The Question Springerlink
Cherished Teddies Amy Figurine Bear With Teapot Enesco 2012 Forgotten Keepsakes Ebay Teddy Figurines Bear
Work Truck Trucks Custom Trucks
Habitat Preferences Estimated Abundance And Behavior Of Tree Hyrax Dendrohyrax Sp In Fragmented Montane Forests Of Taita Hills Kenya Scientific Reports
Mandibular Condyle Bone Density In Adolescents With Varying Skeletal Patterns Evaluated Using Cone Beam Computed Tomography A Potential Predictive Tool American Journal Of Orthodontics And Dentofacial Orthopedics
Fisher Cat How To Protect Your Chickens From Them The Happy Chicken Coop
Photos From Christina Payne Gordon S Christina Payne Gordon Lost Cat Police Canine Cat Names
King Rosetail Indonesia On Instagram Coba Tebak Ini Warna Ijo Apa Tembaga Like Komen Sha Freshwater Aquarium Fish Betta Fish Aquarium Fish
Early Head Ct In Post Cardiac Arrest Patients A Helpful Tool Or Contributor To Self Fulfilling Prophecy Resuscitation
Following The Fishers In Connecticut Estuary Magazine For People Who Care About The Connecticut River
Cancers Free Full Text Prognostic Significance Of Ct Attenuation Of Tumor Adjacent Breast Adipose Tissue In Breast Cancer Patients With Surgical Resection Html
Following The Fishers In Connecticut Estuary Magazine For People Who Care About The Connecticut River

